叙事作文
脸上的笑容_550字
四年前,5月21日,这是一个爸爸和妈妈的离婚日,我是完全独特的。回家,是的!爸爸坐在床上,用香烟叹了口气。我知道是哦爸爸和母亲争吵。我赶紧进入我母亲的房间,我看到了一个人,衣柜是空的。床头柜上的东西
迷你录音机_500字
我有一个小刻录机,手掌如此大,胶带较小,我的小拇指几乎。别看它,这是一个小号,但能量不小。第一ep.最近,我爱上了歌唱,爱自我编辑,迷你录音机记录了我的手“单身”“房地产市场”:“房地产市场
我尝到了苦恼的滋味_600字
在我们这个时代,这不应该陷入困境,因为我们的童年应该是纯洁的,美丽的。然而,有一个人,在我们自己的幸福中,增加了四个苦恼。这个人是谁?别担心,请慢慢听我叙述。这个学期开始,我们听说过一名新老师
暑假小记_350字
“爸爸,我今天这么早,什么?”我问。“哦,让我们去汤。”爸爸回答道。“汤在哪里?”“如果你去,你会知道,去,去公交车!”爸爸驾驶,我坐在司机的座位上,沿途,我认为我心中的汤是什么样的。当我到达汤时
宽容他人_400字
宽容别人,对自己善良;如果你讨厌别人,你只能让我们的思想得到覆盖。理解和宽容,就像明亮的灯,能够分散无边无际的黑暗并照亮你的思想。有一天,我在课堂上借了一块橡胶,这让人错过了,他没有给我一个整个早晨
面镜思过_750字
我接受了它,站在研究中,思考:年级真的很重要吗?让你的成绩做你的孩子!事实证明,今天我刚送了一篇试卷,我赢了89分,我想,我的母亲怎么惩罚我?当我来到门口时,我慢慢走进房子,脱掉了鞋子,走进了房子
梦里的森林_250字
在梦中,我会看到可怕的,我会看到它。在我的梦想中,只有一个好的,没有可怕的。但是一天晚上,我梦见了森林。在森林里的树上是一只蜜蜂鸟,有一个小而可爱的麻雀,他们唱歌分支机构。在梦中的晚上
读书有好处_1200字
我相信每个人都必须见过很多书。你喜欢看书吗?如果你不喜欢它,你会听取我的介绍,我相信你会像我一样,我喜欢我们的朋友 - 书。这本书比深深的宝藏更好,记录了人类文明的发展
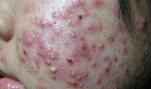
痘痘风波_450字
我最近统一,我的脸上被死亡臭虫咬了几个袋子。真的很难死;雪增加和霜冻,我的贫穷鼻子再次冲。呼吸不是光滑的;即使服从的耳朵也不错。整个面孔不是一个好地方,它比小丑更丑陋。这真的不幸了!“真正像大花”
连云港两日游_1500字
在星期三,爸爸对我说:“明天,我们必须去连云港,称为连香港。当你必须去一个地方,你必须检查信息,就像连云港的海拔高度为624.9公里,骑它需要六个小时等。我们去了龙泉去公交车。晚上,我是无意识的
我最激动的时候_400字
从小到大,回忆,有一些让我兴奋的东西,但是当我很兴奋时,我是三个好学生。今天是一天的学校开幕式,我的心情非常复杂,因为我很担心......当我在我的脑海里有各种各样的情况时,老师拿着试验论文和奖励
跳蚤市场_650字
在学校的操场上,学校里的孩子们的活动 - 跳蚤市场正在努力在天空上工作。在操场上,笑声笑,卖的声音即将到来。截至傍晚,我准备出售货物,然后在钱包中准备过零钱,并列出了商品列表
平安夜里的平安果_400字
12月24日,这是圣诞节前夕。像圣诞节一样,这个节日和圣诞节来自国外,代表和平与安全的意义。所以,每个人都在家里。祝福自己安全。对你的家人也安全。每个人都必须吃神秘的东西!事实上
游大庆科技馆_550字
在天气的一天,凉爽的习惯,我来到大庆参加了小阿姨的婚礼。在大庆的几天短短三天,我是最难忘的事情是参观大庆科技博物馆。那是早上,20多人去了科学和技术博物馆,虽然天气不好,但它没有影响我们的心情
讨厌的水泡_600字
最近,我尤其讨厌,因为我的脚很长,像花园一样的小泡罩,从路上走到一颗心,穿着鞋子,不要进去,真的讨厌它。后来,我买了一盒草药,试图申请它。几天后,我看到了我的脚,我已经过去了,只有一点点
妈妈,您能懂我吗?_450字
妈妈,您能懂我吗?每次我作文写不好,妈妈都会让我重新写,我为了证明自己是可以写好的。向学坛作文网投稿,打了一篇《第一次做饭》准备投上去,我让您来看看写的怎么样,但是您却一口否认我的作文
我战胜了胆小_200字
今天早上,我听到了我的祖母,我的父亲和母亲正在谈论。我正在看我的祖母,我的祖母说:“我们的客厅里有盗贼昨晚,偷了5,000和手表。”我是听,非常惊讶,我觉得,我们的家是第一个被偷走的
虚惊一场_350字
曾经,我正在做作业。逼有手机听起来很好。我拿起电话,一个奇怪的声音响起。“嘿”,我听,我想到了被骗的人,我很快把手机放下,对我的母亲说:“妈妈,有一个坏人,你会拿起!“妈妈拿起电话,停下一会儿
我学会了打乒乓_500字
我喜欢运动,什么是跑步,跳跃,跳跃,只玩乒乓球,但我想学习,但我没有机会。在运动课上,顾老师看起来像是喜欢玩Pong,我问我是否想学习。我听了,我很开心,我说:“好的,好吧
第一次做饭_600字
今天晚上的Tet,我们一直在炒饭蛋糕。我说:“妈妈,我也想烹饪。”妈妈说:“那 - 好吧!”我们准备好米糕,西红柿,胡萝卜,土豆和绿色。开始烹饪!妈妈让我清洁,然后切成碎片。我拿出了他们
