叙事作文
游清河水库_800字
“6月1日”儿童节,我们的家人去了清河水库玩,我们花了一个愉快的“6月1”节。早上,我们将乘坐公共汽车到青河水库。首先,我们将首先反映我们的眼睛,在水库门上的“青河水库”的大词。进入门
观灯展_650字
十五层压灯的第一个月,吃了晚餐,我们的家人去了街上去了光明。这时,夜晚已经开了,而广场到处都是,它是一个灯光世界,海洋的人,世纪广场的人,鲜花是五颜六色的。这是“火树银花城,湾是armidious
爸爸的记性真差_700字
我爸爸39岁,不到40岁,但他的记忆超过93岁。这不是,你会听我谈谈它。“我的手机?我的手机在哪里?谁拿了我的手机,赶紧把它给我。”从房间来看,我把父亲传递了一些东西。我要去我父亲的房间,说:“爸爸
水龙头的学问_600字
在这些日子里,我厨房里的水流率正在越来越慢,有时它在洗碗中的水不足,而爸爸的精神的精神已经分析了“神秘”。在昨天之前的一天,我的父亲说,我说我说我非常兴奋:“每天,我知道水龙头的原因
我家的小狗——旺仔_250字
小狗真的很聪明。昨天,我把它进入了学校的游乐场玩它。我去了母亲办公室喝水,我的父亲和一位同事在传送带中聊天,甚至孤独。游乐场,我父亲正在寻找我和小狗,我看着它,没有。“找到,找到它,王铁赛
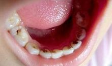
啊,我的牙齿_650字
12月22日,这是我生命中最悲惨的一天,我的四颗牙齿被吉普车击中。下午,有一个大雨,我有一个自行车来转弯,但是一辆大卡车阻止了我的视线。我以为大卡车背后没有车,它不仅仅骑过来。这一刻发生了悲剧
品茶,悟道,修身,养性?_550字
茶,启蒙,自我修养,自然,这就是我听茶的人经常说。但我觉得它不喝茶,我可以喝什么?我不相信。今天,我会尝试品尝它,这是如此。我把所有的水放在杯子里,然后拿起桌上的茶坦克,把一块小茶放在杯子里
制作小电扇_650字
星期天,我在家里。那天天气很热。我认为今天天气太热了。我不像我有一个小型电风扇玩的那么好。无论如何,我教过普通类中的电路知识,但也让我们练习它。思考这一点,我找到了一些工具和材料:电线,小电机
美丽的校园一角_300字
我们学校拥有一个美丽的生物园,位于校园的右下角。一个进入花园里,脸上是一只刻有石头的小鹿,他们正在寻找彼此,看起来栩栩如生。在小鹿之后,有一个小游泳池,游泳池是晶莹剔透的,还有几个小金鱼在水中嬉戏
家庭新生成员_550字
我们家里有三个人,就是爸爸,妈妈和我。然而,我的家人最近增加了一个新成员。请不要误解,那不是我年轻人或妹妹,因为它现在是一个计划生育时代。这是一个可爱的小狗,名字是黑色的
根_150字
我喜欢鲜花,我爱你,我喜欢无私的奉献精神!谁将考虑一下,谁真诚地为那些花,叶子提供营养,谁是无私的,向他们增加能量? 什么!它是它的 - 根!深深地偷偷溜进地下的根源。没有人关注,没有人在看罗斯
今天真伤心_350字
我今天回家了,我在笼子里发现了一只小白兔子。作为一个问题,我只知道兔子用水吃草后已经死了。死是一只雄性兔子。听到这个坏消息我很震惊。怎么有这样的东西?昨天,两只兔子都是精神上的,并且没有腹泻的迹象
油漆工机器人_350字
我父亲是一名水手画家。每次我回去工作时,我总是有一个脏污,有一种令人不快的油漆品味。所以我想到了画家机器人。在工作日,我还听取了这位机器人评论的老师。但我检查信息发现它不是我羡慕的机器人
“讨厌”的母爱_400字
在安静的深夜,无数的星星揉眼睛,地球上的月亮很轻。我想到了“仇恨”的母亲。人们经常说:“母爱是伟大的,无私,像春风一样柔软,像太阳一样温暖。”但我“讨厌”母爱。这是:周三晚上
“三八”节的礼物_350字
今天是“3月8日”妇女节,我没有给我母亲有任何好的礼物,把一个构图写给亲爱的母亲。妈妈,你有一双勤劳的手,虽然这双手很小,但是多年来有一丝痕迹,看起来很粗糙。但是,我们的家与你的手密不可分。每天
我爱家乡的凤凰山_500字
去年的国庆节,天气晴朗,达格芳香,我和爸爸从凤凰山上遇到了愉快的心情。望远走远,凤凰山脚下有一个亭子,红墙黑色瓷砖;接近一下,亭子的顶部在“文昌馆”中写了三个大角色;据说这里的菩萨是非常明显的
一个节俭的人_500字
董杰是我们班上最节俭的人。有一次,我给了一些学生去学校操场踢足球。我们在大约两个小时的时候玩的那个时间,我们是口渴和热的。每个人都据说买苏打水和可乐饮料。董杰也落后了我们。当我来到商店时
嗨,我真后悔_900字
嘿,这是一个星期天,我独自一人在东方广场,我想到了遗憾和内疚。那也是一个星期天,我和爸爸在狗城里徘徊,我看到了一个可爱的小狗。爸爸也喜欢它。我看到这个场景,我抓住了这个机会
贪吃_550字
当我小时,我很贪心,我必须把它送到我的嘴里。如果你不给我,那就比打电话给我更不舒服。有一次,我在家里看到一个篮子,准备一个芽薯。我认为土豆可以很好吃。所以,我争吵向我燃烧。然而
我想发明--智能文具盒_450字
现在,每个同学中有一个文具盒,但是一些文具盒不好,我想发明一个文具盒 - 智能文具盒。这个文具箱是“人机对话”的好地方。刚才使用此文具盒时。可以感测文具盒的天线。文具盒上有5个钥匙:红色1,红色2
